唐氏综合征
这个名字或许你并不陌生
但你真的了解它吗?
它并非罕见的陌生疾病
而是人类最常见的染色体异常之一
每600-800名新生儿中
就有一名唐氏综合征宝宝降临人世
2026年3月21日是第 15 个 “世界唐氏综合征日” 。今年的活动主题为“共同对抗孤独(Together Against Loneliness)”。
2011年12月,联合国大会通过决议,将每年的3月21日定为“世界唐氏综合征日”。选择这一天,是因为唐氏综合征的特征是第21号染色体多出一条(三体现象),3月21日(3/21)象征着这一染色体异常的独特性。
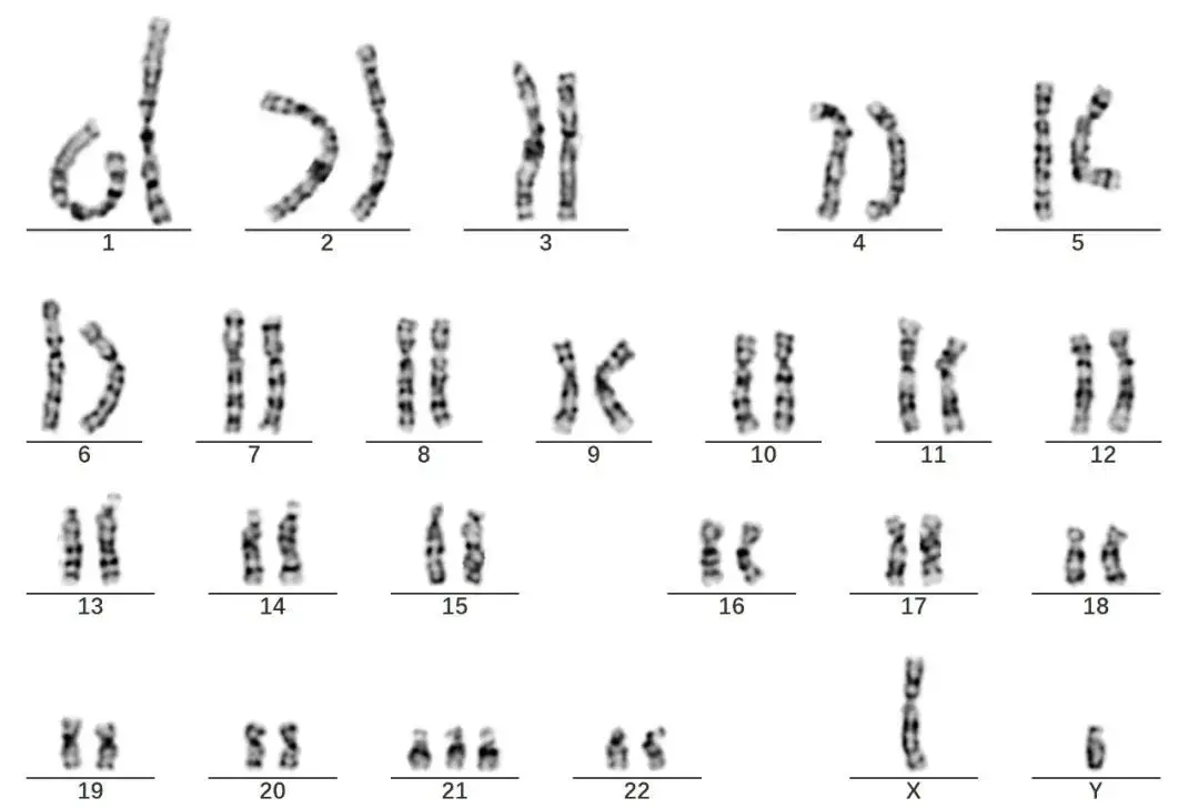
唐氏综合征,又称21-三体综合征,是一种由染色体异常引起的先天性疾病。
正常人的体细胞中有46条染色体,而唐氏综合征患者则多了一条21号染色体,共有47条。
这条多余的染色体
如同命运多写的一笔
微妙地改变了一个人的生命轨迹
多余的染色体源于生殖细胞形成过程中的偶然错误。这种错误与种族、地域、经济状况无关,任何家庭都可能迎来唐氏宝宝。高龄孕妇生育唐氏儿的风险相对更高,但大多数唐氏儿其实出生于年轻孕妇——因为年轻孕妇的生育数量基数更大。
//
唐氏综合征患者通常有特殊的面容特征:眼距较宽、眼裂向上倾斜、鼻梁低平、手掌常有横贯掌纹等。更重要的是,他们往往伴有不同程度的智力障碍和发育迟缓。
在健康方面,唐氏儿面临诸多挑战:
约一半患儿伴有先天性心脏病,消化道畸形风险较高,视觉听觉问题常见,甲状腺功能异常发生率增加,免疫力较弱,易患感染性疾病。此外,他们患白血病的风险是普通儿童的10-20倍。
然而
并非所有唐氏患者都同样严重
个体差异很大
有些患者通过早期干预和适当支持
能够学会读写,甚至从事简单工作
如今,医学的发展让唐氏综合征的产前筛查和诊断成为可能。筛查方法包括孕早期的超声检查(NT检查)、孕早中期的血清学筛查、无创产前基因检测。
若筛查结果为高风险,医生会建议介入性产前诊断(羊膜穿刺、绒毛膜穿刺等)。诊断性检查能准确判断胎儿是否患有唐氏综合征,为家庭提供充分的信息和选择权。
唐氏综合征患者
不是“永远长不大的孩子”
他们是拥有独特个性和
无限可能的生命个体
在包容的社会环境中
通过早期干预、特殊教育和家庭关爱
许多唐氏患者能够掌握生活自理能力
甚至完成学业、参与工作
唐氏综合征不是需要“治愈”的疾病,而是需要理解的生命状态。每一条染色体都是生命密码的一部分,多出的21号染色体,不应成为隔绝与偏见的理由。
那些被命运多写一笔的人们,同样在用自己的方式诠释生命的美好与完整。
理解他们,接纳他们,支持他们——这不仅是对特殊群体的关爱,更是人类社会文明进步的标尺。
来源:广州市红十字会医院订阅号
编辑:陈梦莹 责编:邹向东
【免责声明:我们尊重原创、注重分享,版权归原作者所有,如有侵犯您的权益请及时联系,我们将在24小时内删除】联系和投稿邮箱:jiankangGZ@126.com
订阅后可查看全文(剩余80%)










