痛经、经量过多,不少女性当作 “正常现象” 一忍再忍,可对于35岁的美国患者安娜(化名)而言,这却是持续 23年的噩梦。
她的子宫被密密麻麻的肌瘤撑大如孕4个月大,面临切除子宫绝境。跨越半个地球来到深圳后,北京大学深圳医院(以下简称“北大深圳医院”)妇产中心团队凭借原创的PUSH 手术(弥漫性子宫病变重建生育力手术), 从她的子宫里地毯式“挖”出 656 颗肌瘤,同时完整保留子宫,重建生育功能,为她未来生娃保住了机会。
月经“血崩”被判切子宫,跨国求医寻希望
安娜从12岁月经初潮起,就被重度痛经、经量暴增的问题缠身,长期依赖止痛药缓解症状,同时伴随头晕乏力、尿频等不适。2018年,持续加重的腹痛让她前往美国当地医院就诊,被确诊为“子宫多发肌瘤”,随即接受了子宫肌瘤剔除术,术中大出血靠紧急输血才捡回一条命。本以为闯过了鬼门关就能好转,术后不久,安娜的肌瘤再次复发。
去年,因经期失血过多而晕倒,确诊重度失血性贫血,而致病元凶是“弥漫性子宫肌瘤病”,更被国外多家医疗机构建议“切除子宫”。这让未婚未育、有强烈生育意愿的安娜陷入了绝望。
经中国福建的朋友建议,她跨越半个地球来到中国,福建省妇幼保健院首先帮她纠正了重度贫血,医生还告诉她一个关键消息,“北大深圳医院妇产中心吴瑞芳教授团队,有个国际领先的、专门对付弥漫性肌瘤病的保宫手术,清除病灶的同时,还能保留子宫与生育力。”抱着最后一线希望,安娜来到深圳。
15年磨一剑,原创PUSH术开辟保宫新路径
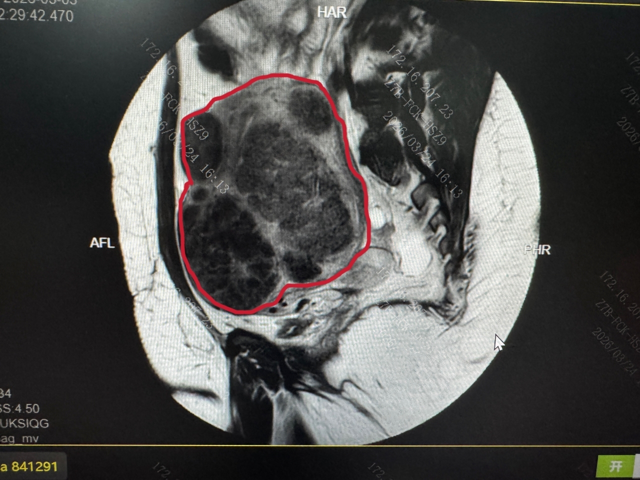
弥漫性子宫肌瘤病是一种特殊类型的子宫肌瘤,临床以月经过多、继发性贫血、不孕为主要表现,其早期症状与普通痛经、月经不调高度相似,极易被患者忽视,多数患者子宫内肌瘤呈弥漫性生长,临床治疗棘手。
与有完整包膜、边界清晰的普通多发性子宫肌瘤不同,弥漫性子宫肌瘤病的肌瘤常无完整包膜,像沙粒一样弥漫性浸润整个子宫肌层,大大小小的瘤体与正常肌层交织在一起,肉眼难以分辨清晰边界,给手术治疗带来极大挑战。
吴瑞芳教授介绍,对于弥漫性子宫肌瘤病,传统手术方式面临两难困境:若无法彻底剔除病灶,微小残留极易导致短期内快速复发;若追求彻底清除,又不可避免会破坏子宫正常结构、损伤子宫内膜,甚至引发术中致命性大出血。因此,在很长一段时间内,全子宫切除术是全球范围内该病的主流治疗方案,这对于有生育需求的年轻女性而言,意味着彻底失去生育机会。
为破解弥漫性子宫病变“非切不可”的治疗困局,吴瑞芳教授团队原创研发了PUSH手术(Protection of Uterine Structures for Healing,即弥漫性子宫病变重建生育力手术),该术式名称同时也是北京大学深圳医院英文缩写(Peking University Shenzhen Hospital,PUSH)。
该手术的核心是在彻底清除弥漫性病灶的同时,完善保留子宫的解剖结构与生育功能。经团队15年深耕,持续技术迭代和550余例手术实践,PUSH手术技术不断成熟,并拓展应用在弥漫性子宫肌瘤病、弥漫性子宫腺肌病和弥漫性子宫脉管病变等多种弥漫性子宫病变。
5小时高难度手术精准攻坚,656颗肌瘤尽数剔除
安娜的手术,是团队近年来接诊的高难度病例之一,多重风险因素叠加,给手术带来了极大挑战:一是患者体重达216斤,臀围128cm,皮下脂肪厚导致手术术野暴露困难;二是子宫被肌瘤撑至妊娠4个月大小,形态完全失常;三是肌瘤最大直径超10cm,最小的肉眼几乎不可见;四是患者有既往腹腔镜肌瘤剔除术伴大出血病史,盆腔存在广泛致密粘连,解剖结构完全紊乱。
针对患者的复杂病情和强烈的保育需求,吴瑞芳教授团队基于PUSH手术体系制定了三套完备预案:优化切口设计,采用纵切口保障手术视野;采用宫颈峡部环扎止血,对较大肌瘤“边剔瘤、边缝扎”,严控术中出血;制定个性化分层缝合、术后防感染防脂肪液化方案及全程生育力保护计划。
手术过程中,团队先耐心分离盆腔广泛粘连,再从宫底到宫颈、从浆膜层到粘膜层开展“地毯式”排查,对每一颗肌瘤进行精准剥离剔除,同步完成子宫肌层结构的修复重建,全程规避子宫内膜、子宫动脉、输尿管等关键组织器官的损伤风险。最终,经过5小时,团队顺利完成手术,共计剔除可计数肌瘤656颗,装满了整整两个托盘。
术后安娜恢复顺利,未出现感染、出血等并发症,还在病房度过了自己35岁的生日,于3月17日顺利出院。妇产中心团队为其制定了个性化术后长期管理方案,包括定期复查、子宫修复评估等,为未来生育保驾护航。
完成近550余例PUSH手术,新技术在国内推广
北京大学深圳医院妇产中心主任李长忠介绍,截至目前,已有来自全国各地及海外的550余名弥漫性子宫病变患者接受PUSH手术治疗,其中弥漫性子宫腺肌病患者术后疼痛评分从术前9.5分(重度剧烈疼痛)降至0.9分,月经过多改善率达100%。
在有明确生育需求的患者中,58%成功妊娠,60%顺利诞下健康宝宝,打破了该病“重病必切宫”的行业旧识。其中帮助一名弥漫性子宫肌瘤病患者剔除1081个肌瘤后,于术后两年顺利生下宝宝。
于此同时,PUSH手术技术也获得行业广泛认可。2021年写入《子宫腺肌病伴不孕症诊疗中国专家共识》,并通过国家级培训班向全国推广;2023年入选国家卫生健康技术推广项目,纳入国家卫生健康技术推广应用信息服务平台;2024年团队主编的《PUSH手术——弥漫性子宫病变重建生育力手术》专著正式出版发行;2025年,该术式纳入国家“十四五”重点研发计划相关课题,由全国6家医院联合开展多中心临床研究,推动技术向指南化、标准化发展。
对于弥漫性子宫病变,团队坚持分级、个性化的精准治疗方式,轻中症采用药物等保守治疗,重症患者特别是有生育需求者实施保宫手术,患者完成生育后长期随访个性化干预方案。“看见患者的真实诉求,而不是简单地一刀切。让更多被弥漫性子宫病变困扰的女性,能看到保育的希望。”吴瑞芳教授说。
最后,团队也提醒,痛经、经量过多、经期紊乱绝非女性“正常生理现象”,切勿硬扛拖延。尤其是弥漫性子宫病变,早期症状与普通月经异常高度相似,一旦出现相关不适,需及时到正规医疗机构就诊,实现早发现、早诊断、早治疗,最大程度保护女性生育力。
南方+记者 曾南希
订阅后可查看全文(剩余80%)











