中山市口腔医院东区门诊部完成一例高难度全口咬合重建,让“崩溃”的牙齿重获新生。近日,54岁的郭先生在中山市口腔医院东区门诊部完成了为期一年的全口咬合重建治疗,看着镜子里整齐洁白的牙齿和恢复饱满的面容,他难掩激动之情。
郭先生多年来一直被全口牙齿问题困扰。由于长期夜磨牙和嗑瓜子的习惯,他的全口牙齿磨损严重,不仅变短、遇冷热酸甜敏感,咀嚼效率也越来越低,面部下三分之一的高度降低,鼻唇沟加深,显得比同龄人苍老许多。为恢复口腔健康与美观,郭先生来到了中山市口腔医院东区门诊部。
“弹坑状”牙齿遭遇“硬骨头”,多学科联合破解难题
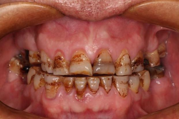
“患者的情况非常典型且复杂。”接诊的萧剑浩医生介绍,检查发现,郭先生全口余留牙广泛性重度磨耗,很多牙本质暴露呈“弹坑状”缺损,同时伴有牙列缺损、不良修复体和牙周炎等问题,可谓是“满目疮痍”。更棘手的是,他还有多年的夜磨牙史,这对修复体的长期稳定是个巨大考验。
面对这块“硬骨头”,中山市口腔医院东区门诊部充分发挥了多学科联合序列治疗的优势。由种植修复科、牙周科、牙槽外科专家组成的团队,为郭先生量身定制了一套从基础治疗到最终修复的全流程方案。
步步为营,基础治疗先行
治疗的第一步并非直接做牙,而是“打好基础”。团队牙周科与牙槽外科率先出动,为患者进行牙周基础治疗,维护牙周稳定性,避免口内余留牙齿的牙槽骨进一步吸收。同时也为后面的患牙拔除扫清了菌斑障碍,使拔牙创愈合得更快、更好。
“𬌗垫”跟随其后,让肌肉和关节“学会”新咬合
团队为郭先生制作了一个可摘式全牙列解剖𬌗垫,将他的咬合垂直距离谨慎地升高了2毫米。这个看似简单的“塑料牙套”,是整个治疗成功的关键。
“咬合重建不仅仅是把牙齿补起来,更要重建整个口颌系统的协调。”医疗专家解释道,“郭先生已经适应了多年的低咬合状态,如果一次性把牙齿做长,他的肌肉、关节都会‘抗议’。𬌗垫就像一个‘训练器’,让他的神经肌肉和关节在3个月的时间里,慢慢适应并记住这个新的、健康的咬合位置。”
佩戴𬌗垫期间,医生密切跟踪,确认郭先生无任何关节不适,肌肉也完全适应后,才进入下一阶段。
临时牙“彩排”,确保最终效果满意呈现
在𬌗垫确立的“新咬合”基础上,团队开始进行牙体预备,并制作了临时固定桥和临时冠。这相当于一场“带妆彩排”。患者在接下来两个月里,可以真实地体验新牙齿的功能和美观,如有任何不适还能及时微调。
“戴临时牙的时候,我就感觉咀嚼有力了,而且笑起来牙齿的形态、颜色都非常满意,我当时就很有信心了。”郭先生满意地说。临时修复体的成功,为最终修复体的设计提供了最可靠的依据。
数字化加持,种植+固定修复“强强联合”
针对郭先生缺失的46、47号牙,团队同期实施了种植手术。同时,利用口内扫描、临时修复体形态复制等数字化技术,精确设计并制作了最终的修复体。当全口固定桥和种植冠戴入的一刻,郭先生看着镜子里咬合均匀、形态逼真的新牙齿,笑容重新回到了脸上。
一年随访,稳定如初,技术实力守护“口福”
如今,距离最终修复完成已过去一年。在近期的复查中,郭先生的修复体完好无损,牙周组织健康,咬合关系稳定,颞下颌关节功能正常,CBCT显示与术前无明显变化。这标志着这次高难度的全口咬合重建取得了圆满成功。
这例患者的成功,是中山市口腔医院东区门诊部硬实力的集中体现。它不仅仅是一次牙齿的修复,更是对咬合功能、美学形态和面部年轻化的综合重塑。
【中山市口腔医院东区门诊部介绍】
作为中山市口腔医院的重要组成部分,东区门诊部依托医院总部的强大专家团队和技术平台,配备了国际先进的诊疗设备,特别是拥有经验丰富的专家团队和全套数字化修复系统。从全面的风险评估、基础问题清扫,可逆的𬌗垫治疗,到临时修复体的美学验证,再到精准的数字化永久修复,东区门诊部致力于为每一位像郭先生这样的复杂病例患者,提供个性化、精准化、舒适化的一站式解决方案,让市民在家门口就能享受到顶尖的口腔修复技术,重获健康美丽的笑容和幸福“食”光。
未来,中山市口腔医院东区门诊部将继续秉承“以患者为中心”的理念,不断精进技术,提升服务,为守护中山市民的口腔健康贡献力量。
撰文:王司晗
订阅后可查看全文(剩余80%)









