近日,“下巴后缩”引起网友热议,不少家长表示也发现自己的孩子长着长着突然下巴“不见了”,这是怎么回事?影响孩子的健康吗?
医生提醒,下巴后缩不仅会影响孩子的面容,还会影响咬合功能,最好在青少年时期就开始治疗,成年后正畸治疗效果是十分有限的,可能需要考虑正颌手术。
指导专家:
陈建明 广州医科大学附属口腔医院越秀院区口腔正畸科主任、主任医师
本文作者:
王一轩 广州医科大学附属口腔医院越秀院区口腔正畸科主治医师
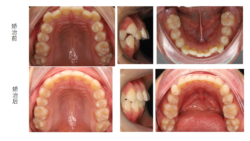
案例:12岁女孩下巴后缩
经矫正治疗后改善
两年半前,月月(化名)的爸爸带着12岁的月月来到广州医科大学附属口腔医院越秀院区口腔正畸科就诊,“感觉孩子好像没有下巴了一样,变丑了,是怎么回事啊?”月月的爸爸询问首诊医师王一轩主治医师。经详细诊断,王一轩医生发现月月确实存在下颌后缩的问题,需要进行功能矫治。
在了解月月的诉求后,王一轩为其制定了矫治方案,“考虑到月月学业比较紧张,我们通过导下颌向前同步正畸牙齿排齐的方式进行矫正,矫治周期相比双期正畸方案短。”
月月矫治前后对比
为什么下巴会“消失”?
原来是下颌后缩在捣鬼
“下颌后缩,往往正面还看不出什么问题,但从侧面一看,下巴好像‘离家出走’了一样,面部轮廓变成了凸面型,一下子就让颜值和咬合功能都受到了影响,”口腔正畸科王一轩主治医师说。
下颌为什么会后缩呢?“遗传是关键因素,如果家里有类似的情况,后代就比较容易出现下颌后缩。”王一轩解释。还有一些常见的不好的口腔习惯,像吮手指、咬下唇等也会导致下颌后缩。“吮手指、咬唇咬物的时候,手指、唇或者如铅笔,筷子之类的小物品,给上牙一个向前上的推力、让上前牙前倾,也给下颌一个后下的推力,使下颌被迫处于后退位,时间一长,肌肉咬合都适应了坏习惯的位置,下巴自然就出不来了。”
另外,腺样体肥大也会来“捣乱”。腺样体在鼻咽部长得太大,把后鼻孔堵住了,人就只能用嘴呼吸。气流从口腔进出,舌头处于下风,使颊肌和舌肌的对抗失衡,就导致上颌窄而深,下颌得不到正常的刺激,久而久之就后缩啦!
下颌后缩会有啥表现呢?先看脸,正面来说,下颌后缩的患者通常面下1/3比较短,下颌后缩最主要表现在侧面,侧面看过去,面中部就像个“小山丘”一样格外突出,下巴短小得可怜还往后缩,严重的时候,连脖子的线条都被连累得不好看了,简直是“颜值杀手”!
腺样体肥大
下颌后缩患者
自己会不会也有下颌后缩?
真“中招”该怎么治疗呢?
怎么知道自己是不是下颌后缩呢?“自己目测常常不准,很难分辨自己的情况到底是下颌后缩还是上颌前突或者是多因素导致的面突。所以最准确的就是去医院找医生。”王一轩建议。
首先,医生会先给患者做临床检查,检查面部的形态、下颌的位置和咬合情况,颞下颌关节活动是否正常,这是初步的判断。然后通过头颅侧位 X 光片,用 X 线头影测量分析,对颌骨、牙齿、颅骨的标志点仔细测量分析,算出 SNA 角、SNB 角、ANB 角等具体数值,从而了解下颌后缩的程度。
那么确诊下颌后缩后,怎么治疗呢?对于正在长身体的青少年,需要进行功能矫治或正畸治疗。这就像是给牙齿们请了个“私人教练”,戴上牙套,不管是传统的金属牙套、还是美观的隐形的牙套,它们都会温柔又坚定地引导牙齿移动,让上下颌牙齿的位置关系变得和谐起来。有时候还会用上功能矫治器,像肌激动器、Twin - block 矫治器这些“小助手”,刺激下颌骨快快生长,把它拉回到正常的位置。
“这个过程虽然时间有点长,可能要 1 - 3 年,还得经常跑医院复诊调整矫治器,但是对牙齿的损伤小,而且能让咬合和颜值都变好,”王一轩解释。对成年人来说,下颌后缩比较严重的情况下,正畸治疗效果是十分有限的,那就可能得考虑正颌外科手术这个“大招”了。手术的时候,医生会像个神奇的“雕刻家”一样,把下颌骨移动、调整到它该在的地方,让它恢复正常。像下颌支矢状劈开术、下颌骨体部截骨术这些就是常用的方法。
最后,为大家总结一下:下颌后缩的原因有很多,比如遗传或者口腔不良习惯,这会让面部从侧面看起来不太美观,自己在家比较难诊断下颌后缩的原因,需要到医院里,由专业的正畸医生,通过一些临床检查和拍x线片来确定面部凸度程度以及下颌后缩的病因,可以进行功能矫治或者正畸治疗来尽可能调整这一面部的不和谐。
来源:广州医科大学附属口腔医院
编辑:大然 责编:邹向东
【免责声明:我们尊重原创、注重分享,版权归原作者所有,如有侵犯您的权益请及时联系,我们将在24小时内删除】联系和投稿邮箱:jiankangGZ@126.com
订阅后可查看全文(剩余80%)



