对不少年轻人来说
脸上冒痘痘是再常见不过的事
顺手挤掉几乎是下意识的动作
然而宁波20岁大学生小林(化名)
挤了颗普通痘痘
竟引发了败血症和肺脓肿
肺被“啃”出10多个洞
住院治疗了近两周
网友看完直呼:
再也不敢手欠了
原来之前是我命大啊!
小林熬夜后脸上冒出一颗黄豆大小的痘痘,他没洗手就对着镜子把痘痘挤了。可没过几天,痘痘依旧化脓了,糟糕的是,小林开始发烧咳嗽咳痰,即便吃了退烧药也只是暂时退下去。更难受的是右下胸部传来的疼痛,像有根针在扎,深呼吸、咳嗽时更是疼得直冒冷汗。
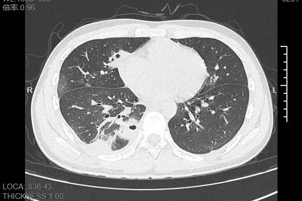
熬到第三天,小林已经烧到39℃,他赶紧来到宁波大学附属第一医院就诊。接诊的呼吸与危重症医学科主任医师丁群力一看他的症状,立刻安排了CT检查。结果显示:小林的肺里有十几个空洞,部分肺组织已经坏死,这是典型的血源性肺脓肿。
小林的血液里检出了金黄色葡萄球菌,这种细菌,就藏在每个人的皮肤表面。
“罪魁祸首就是那颗被挤掉的痘痘。”丁群力解释,“这颗痘痘长在脸部‘危险三角区’,挤痘痘时的压力把细菌推进了血管,引发了败血症,接着细菌顺着血流跑到肺部,侵蚀肺组织。”
经过12天的抗生素治疗,小林最终顺利康复出院。
寻常痤疮俗称“青春痘”,是累及毛囊皮脂腺的慢性炎症性皮肤病,易复发。超95%的人一生会患不同程度痤疮,已成为全球第八大慢性疾病,主要发生在面部、胸背部等皮脂腺分泌旺盛处。
很多人挤痘前都不知道,脸部藏着一块“危险三角区”,具体是指从鼻根到两侧口角形成的三角形范围。

图片由AI生成
“我们身体里的血管大多有静脉瓣,就像单向阀门一样,能防止血液逆流,避免细菌跟着血液乱跑。但‘危险三角区’的血管偏偏没有这个阀门,是完全直通式的。”丁群力介绍。
这就意味着,当你挤压这个区域的痘痘时,会同时触发两个危险步骤:
一方面,痘痘本身是毛囊发炎的产物,已经存在局部感染,挤压会直接破坏皮肤屏障,让痘痘里含大量细菌的脓液,接触到皮下毛细血管。
另一方面,挤压的压力容易把这些细菌强行推进血管里。没有静脉瓣的阻挡,细菌可以顺着血液自由扩散,往上进入颅内,引发脑膜炎、脑脓肿等更凶险的疾病,往下顺着全身血液循环,跑到肺部、肝脏等器官,引发严重感染。
痘痘严重程度从轻到重有粉刺(黑头、白头)、丘疹、脓疱到严重的炎症性结节、囊肿不等,常伴有毛孔粗大和皮脂溢出。
丁群力医生提醒,对于轻度痘痘,不用特殊干预,皮肤有自我修复能力,过度挤压、涂抹刺激性产品,反而会破坏皮肤屏障,增加感染风险。尤其是“危险三角区”的痘痘更是不能挤挑,要避免细菌进入血液。
不要频繁触摸,手上的细菌数量多,反复接触痘痘可能会让细菌反复污染创口。
一旦出现疼痛加剧或周围皮肤大面积红肿,伴随发热、乏力,出现胸痛、咳嗽、呼吸困难这些情况,一定要立刻就医,千万别拖延。
编辑:林东惠 | 责编:梁杰祥
审校发布:王剑莉
来源:宁波大学附属第一医院、粤妇幼、羊城晚报等
订阅后可查看全文(剩余80%)















