“娃胖乎乎的,脸蛋圆嘟嘟,看着就讨喜!”
“小时候胖点算啥,长开了自然就瘦啦~”
喂喂喂~
家长们千万别被这份“可爱”蒙蔽了双眼!
你以为的婴儿肥,可能正在悄悄伤害孩子的肝脏~
(图由AI生成)
过去只缠上大人的脂肪肝,如今却成了胖娃的“隐形敌人”!不少小胖墩的肝脏其实早已悄悄堆满了脂肪,亮起了健康红灯。
今天就让医生跟大家唠唠儿童肥胖性脂肪肝,以及一种评估肝脏健康的技术——弹性超声,无创、无痛,轻松摸清“小心肝”的底细~
敲黑板!
儿童脂肪肝
可不是“胖点”那么简单
很多家长觉得,娃得脂肪肝,就是吃太好、长得胖,减减肥就没事了。大错特错!儿童脂肪肝可不是给肝脏“喂”太多脂肪,让它变成了“小胖子”,其实是娃全身代谢出了问题,危害可不小!
早期脂肪肝就是个“隐身坏蛋”,娃肚子不疼、不乏力,该吃该玩、活力满满,家长根本看不出异常。多数是在给娃儿体检做B超时,才偶然发现娃的肝脏堆满了“油”!
如果此时不加以管理,慢慢地肝脏就可能“发炎”,再严重一点,肝脏会从软乎乎变得硬邦邦(也就是肝纤维化),甚至影响一辈子的肝脏健康。而且得脂肪肝的娃儿,今后得糖尿病、心脏病的几率,也比健康娃儿高得多!

(图片来源网络,侵删)
别以为只有吃肥肉才会这样!奶茶、碳酸饮料、蛋糕甜点(里面的糖会直接变成脂肪堆在肝里)、炸鸡薯条,再加上不爱动,还有爸妈有肥胖、脂肪肝的情况,都容易让这个“隐身坏蛋”找上门~
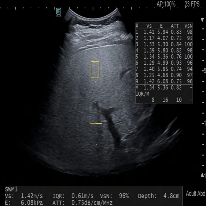
弹性超声
无创查肝不遭罪
既然脂肪肝这么会“隐身”,怎么才能及时抓住它、查清楚呢?
平时咱们做的普通腹部B超,就像给肝脏拍“照片”,只能看出肝里有没有堆脂肪、大概堆了多少,就像看西瓜,只能看出外形圆不圆,看不出里面熟没熟、甜不甜。
而弹性超声,就是给肝脏“做个温柔体检”,相当于一把无形的“软硬度尺子”,专门测肝脏的“结实程度”!不用打针、不用穿刺,娃儿一点都不遭罪,就能精准看出肝脏有没有被伤害、伤害得重不重,是目前查儿童肝脏的得力“小帮手”。
(图由AI生成)
弹性超声怎么做?
痛不痛?
大家平时挑西瓜,都会用手指敲一敲、摸一摸,通过震动判断西瓜熟没熟。弹性超声查肝脏,道理一模一样,不用打针、不用抽血,全程温和不疼,娃儿都能乖乖配合:
1. 探头轻触:
和平时做的B超一样,用的是安全的声波,没有辐射,对娃的生长发育没有任何伤害。检查时医生会把一个小小的超声探头,轻轻放在娃的肚子上(对应肝脏的位置),就像轻轻摸一下肚子,没有不适感。
2. 轻轻“震动”:
启动弹性成像模式,仪器通过探头自动发送剪切波脉冲,实时监测组织应变情况,一点都不疼,整个检查也就5-10分钟,做完很快就能出报告,适合娃定期复查。
3. 精准判断:
仪器会通过“震动”,测出肝脏的软硬度——肝脏越软,说明越健康;要是变硬了,就说明可能有损伤,需要及时调理,同时还能查出来肝脏里的脂肪堆积严不严重。
(图由AI生成)
哪些孩子
建议做弹性超声查一查!
如果家里娃符合下面任何一种情况,建议尽早带娃做弹性超声,早发现、早调理,别耽误娃的健康:
1. 娃体重超标、比较胖,尤其是特别胖的青少年(摸一摸肚子,全是小肉肉);
2. 做普通B超时,医生说娃有脂肪肝(不管轻度、中度还是重度);
3. 体检时,肝功能、血糖、血脂异常的;
4. 爸妈或者家人有肥胖、糖尿病、脂肪肝的情况;
5. 脖子、腋下皮肤变黑、变糙(这种情况可能说明代谢不好,要警惕哦);
6. 平时爱喝含糖饮料、爱吃油炸食品,不爱运动、整天坐着看电子产品,而且偏胖。
检查前做好3件小事
结果更准!
带娃做检查前,不用做复杂准备,记好这3件事:
1.检查前1-2天,别让娃吃鸡蛋、牛奶、豆制品,也别喝碳酸饮料,这些食物容易让人胀气,会挡住肝脏,影响检查;
2. 检查前2-3小时,不吃东西、不喝水,空腹检查才准确;
3. 检查时,让娃躺着,双手举起来,露出小肚子,跟着医生的要求呼吸就好,家长可以在旁边陪护。

(健康儿童(左图)与脂肪肝儿童(右图)的肝弹性超声图像)
温馨提醒:有时候娃儿肝脏发炎、肚子胀气厉害,可能会影响报告结果,所以千万别仅凭报告上的数字,就判断娃的病情,一定要听医生的专业意见哦!
家长别慌!
儿童脂肪肝,早调理保健康!
家长们不用太焦虑,娃的肝脏修复能力特别强,就像小树苗一样,只要发现得早、调理得及时,绝大多数儿童肥胖性脂肪肝,都能完全好起来,不会留下后遗症。
划重点:
家有小胖墩,家长记得定期带娃做体检,常规查一查B超,必要时做弹性超声,早发现问题、早干预;
帮娃儿养成好习惯,少喝含糖饮料、少吃油炸食品和甜点,多吃蔬菜、低糖水果、鸡蛋和牛奶等优质蛋白;
每天让娃动一动,保证1小时运动时间,少让娃抱着手机/平板久坐,做个爱运动的“小达人”。
如果弹性超声查肝脏有脂肪堆积或者轻微损伤,别慌,跟着医生的建议调整饮食、增加运动,定期复查,慢慢就能恢复正常。
肝脏是娃成长路上的“沉默守护者”,而弹性超声是我们守护娃肝脏的“小帮手”。希望家长都能提高警惕,重视娃的肝脏健康,携手为孩子的“小心肝”保驾护航,让每个娃都能健健康康、快快乐乐长大!
来源:超声科
审核:超声科副主任 宁浩杰
编辑:宣教科全媒体编辑部
订阅后可查看全文(剩余80%)








