在神经外科手术室里,一根细如发丝的激光光纤在磁共振实时导航下,通过头皮上一个仅4毫米的微小入口,直抵患者大脑深处异常放电的病灶区域,以可控温度对病变组织进行精准消融。随着手术的完成,困扰患者长达15年之久的癫痫症状得以终止。
近日,广州医科大学附属第二医院(简称:广医二院)成功实施磁共振引导下激光间质热疗术(LITT),为一位饱受癫痫困扰的患者带来了希望的曙光。此次手术不仅是医院在癫痫外科微创治疗领域的重大突破,更标志着以患者为中心、多学科紧密协作的诊疗模式逐步成熟,为众多难治性癫痫患者带来了新的希望。
大脑深处的“雷区”,
成为禁锢他15年的癫痫枷锁
患者谢先生(化名)今年26岁,自11岁起便饱受癫痫发作的折磨。夜间睡眠中频繁出现四肢抽搐或突然坐起、四肢舞动、大喊大叫等症状,每次持续数十秒,每月重复出现十数次,不仅严重影响其睡眠与日常生活,更使他长期处于身心俱疲的状态。多年来,他辗转多地求医,尝试多种药物治疗,效果均不理想。在亲友推荐下,谢先生抱着一丝希望来到了广医二院。
癫痫中心刘晓蓉教授、何娜教授、胡湘蜀主任医师领衔的内科和神经电生理团队联合神经外科胡滨主任医师、放射科副主任利晞教授、核医学科主任姜圣男教授等专家展开多学科会诊(MDT),综合症状学、神经影像、电生理、基因检测等结果全面深入的评估,确定其致病元凶为位于大脑 “左侧额极沟底”的局灶性皮质发育不良(FCD)。
长期以来,位于脑功能区、深部或微小病灶的癫痫治疗,始终是神经外科领域的难点。传统开颅手术创伤大、恢复慢,且易损伤重要神经功能。对于人生路尚长的谢先生,是否存在一条损伤更少、更有效的治疗路径?
多学科协作奏响“精准医学交响曲”,
筑牢患者安全屏障
经过会诊,专家团队为谢先生提出了新解:采用磁共振引导下激光间质热疗术(LITT)治疗。这是一项前沿的微创技术,通过一个仅如笔芯粗细的穿刺通道,在磁共振的实时导航与温度监控下,将激光能量精准送达并消融病灶,犹如“定点清除”,同时对周围正常脑组织实现最大化保护。相较于传统开颅手术,LITT具有创伤小、精度高、功能保护好、术后恢复快的鲜明优势,突破了过去“大刀阔斧”或“隔山打牛”的治疗局限,实现了实时可视、精准温控、功能区保护三位一体的治疗闭环,特别适用于位于脑深部或功能区病灶的患者。
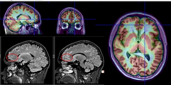
(头MR及PET-MR显示左额额极沟底FCD)
(刘晓蓉教授主持术前评估的多学科会诊)
开展LITT手术离不开系统、周密的前期筹备。在杨辉副院长的统筹指挥下,医务科、设备科、麻醉科、放射科、护理部和医保科等多部门通力协作,迅速完成前期准备工作。神经外科主任王业忠教授带领胡滨主任医师、戴文伟副主任医师等专家多次组织推演,细化手术流程并预设周全的风险预案。
(杨辉副院长主持LITT术前多部门协调会)
(王业忠主任组织神经外科术前多次讨论病例,制定详细手术计划和风险预案)
磁共振引导下激光间质热疗术成功施行,患者获高质量新生
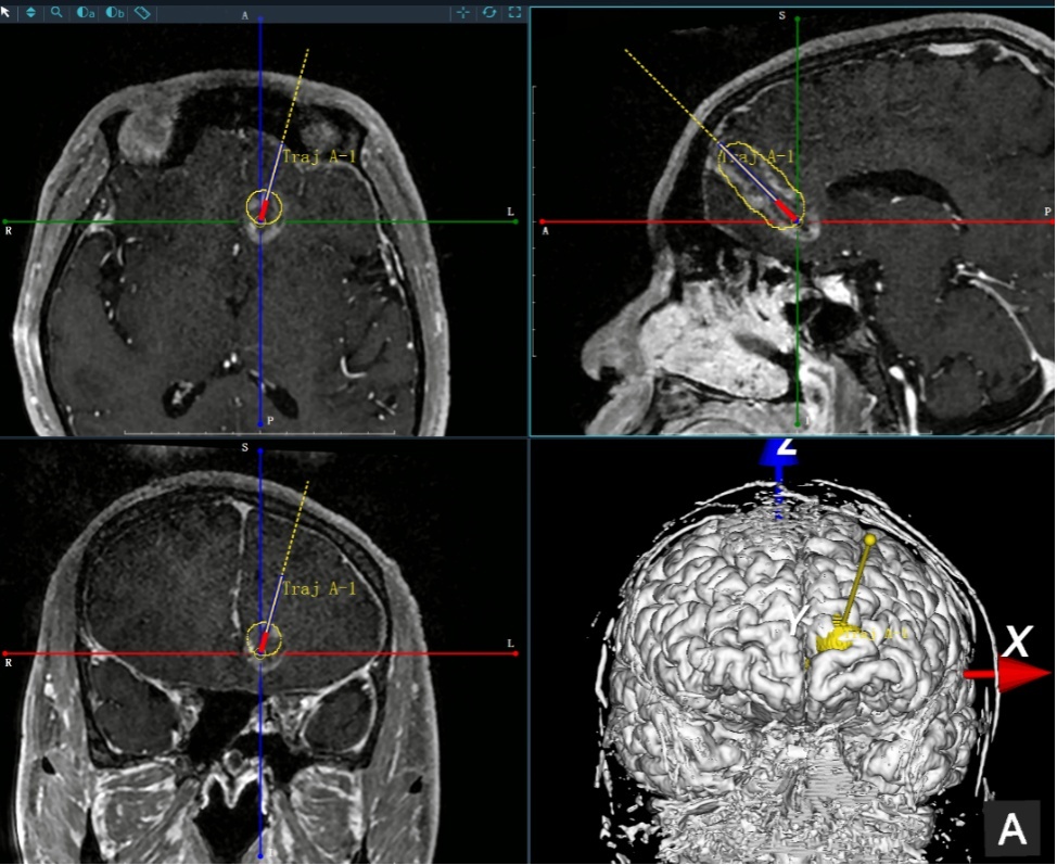
手术如期进行,神经外科科主任王业忠教授运筹帷幄,为手术的顺利进行提供坚强的后盾。在麻醉科、手术室护理团队精诚配合下,主刀胡滨主任医师、助手李伟主治医师紧密合作,严格遵循操作规范,将手术机器人的定位精度提高到亚毫米级,确保可以对手术靶点进行精准定位。
仅4毫米的头皮切口、精准定位的靶点,为患者下一步的热疗提供了坚实基础。患者在手术室植入光纤并复苏后,顺利转运至核磁共振(MR)室。经MR确认光纤位置准确无误后,开始实施热疗。术中通过MR实时监测热疗的效果及范围,与术前预演的范围完美一致。术后顺利拔除光纤,转入神外监护室。
在医护团队的努力下,谢先生术后几小时即可进行日程活动,头部创口小,恢复情况良好,术后很快便顺利出院,重返正常生活。对谢先生而言,手术不再意味着开颅的恐惧、漫长的恢复期与严重的身体创伤。LITT技术明显缩短了住院时间,显著减轻了患者身心负担。
(植入光纤及核磁扫描)
(在多学科护航下进行病灶消融)
(磁共振下病灶消融)
为何LITT被认为是癫痫治疗的
重要突破?
实时磁共振引导:如同在脑内安装了“GPS+热成像仪”,术者能同步观察消融范围与周围脑组织温度,避免功能损伤;
微创路径:无需开颅,通过穿刺通道完成治疗,大幅降低感染、出血等风险;
适应症广泛:除难治性癫痫外,亦适用于脑转移瘤、放射性坏死、下丘脑错构瘤、复发胶质瘤等深部病变;
可重复治疗:若病灶复发或多发,可再次进行消融,为患者保留后续治疗机会。
LITT技术的成功开展,不仅是设备与技术的迭代,更折射出癫痫治疗理念的演进:从单纯追求发作控制,转向最大程度保护脑功能、提升生活质量、实现社会回归的个体化治疗目标。未来,随着激光消融技术与人工智能规划、神经导航机器人等进一步融合,癫痫微创治疗将向着更智能化、个性化方向发展,也将为更多癫痫患者提供更精准有效的外科治疗和更好的生活质量。
专家介绍
刘晓蓉
神经病学教授
主任医师
博士研究生导师
医院副院长
广东省杰出青年医学人才,广州市卫健委优秀人才、岭南名医、羊城好医生、广东实力中青年医生、广州市劳模与工匠人才创新工作室(刘晓蓉创新工作室)领衔人。
医学专长:难治性癫痫、发作性运动障碍、遗传性神经系统病、肌肉病的诊治。
承担社会工作:中国抗癫痫协会常务理事兼副秘书长、中国抗癫痫协会神经电生理分会和教育工作委员会副主任委员、中国抗癫痫协会精准医疗及药物不良反应监测委员会副主任委员、中华医学会神经病学分会脑电图和癫痫学组委员、中国医师协会神经内科分会癫痫与脑电图学组委员、广东省医学会神经病学分会副主任委员、广东省医师协会神经内科分会常务委员、广东省精准医学应用学会癫痫分会主任委员。
出诊时间:周三全天。
点击快速挂号
何娜
医学博士
副教授
副主任医师
博士研究生导师
癫痫专科副主任
广州市高层次人才青年后备人才、广州市高层次卫生人才-医学骨干人才、广州市卫健委优秀人才、羊城青年好医生。
医学专长:癫痫、发作性运动障碍、自身免疫性脑炎、脑血管病;尤其擅长儿童和成人难治性癫痫的诊断、治疗、病因分析、遗传咨询。
研究领域:主要从事癫痫,特别是遗传性癫痫相关的临床诊治和基础研究工作。
承担社会工作:广东省抗癫痫协会副会长、中国抗癫痫协会监事会监事、中国抗癫痫协会青年委员会委员、中国抗癫痫协会精准医疗及药物不良反应监测委员会、中国抗癫痫协会结节性硬化与罕见病专业委员会委员、广东省医学会神经病学分会青年委员会委员、广东省精准医学应用学会癫痫分会常务委员、广东省脑发育与脑病防治学会癫痫病学分会委员会委员,广东省抗癫痫协会病友工作委员会委员,中国医师协会神经内科医师分会神经遗传与罕见病学组组员
出诊时间:周五下午。
点击快速挂号
胡滨
神经外科
主任医师
1993年毕业于中山医科大学,一直从事神经外科临床专业。2001-2002年在美国加州大学洛杉矶分校(UCLA)做访问学者,跟从Gary Mathern教授,专门学习癫痫的外科治疗。现任广东省医师协会神经外科分会委员,广东省健康管理协会神经外科分会常委,广东省医学教育协会神经外科分会委员。专业方向:立体定向和功能神经外科,包括癫痫,帕金森病,三叉神经痛,疼痛等的外科治疗,特别专长于癫痫的外科治疗。
出诊时间:周三上午。
点击快速挂号
胡湘蜀
医学博士
癫痫专科主任医师
医学专长:癫痫的诊治,头皮和颅内脑电图判读。耐药性癫痫的无创和有创术前评估。SEEG引导下的射频热凝微创治疗。癫痫女性的长程管理。
承担社会工作:广东省抗癫痫协会常务理事,第七届和第八届广东省医学会神经病学分会中青年委员,第九届和第十届广东省医学会神经病学分会癫痫学组成员;中国抗癫痫协会第一届和第二届青年委员会委员,中国抗癫痫协会“术前评估专业组”第一届委员,中国抗癫痫协会立体定向脑电图(SEEG)与脑定位学专业委员会第一届委员。
出诊时间:周一晚上、周四上午及周六上午。
点击快速挂号
李伟
神经外科
主治医师
主要研究方向为神经肿瘤和功能神经外科方向,擅长难治性癫痫手术、颅脑肿瘤微创手术治疗、脑出血、重型颅脑外伤救治等。广东省精准医学应用学会神经肿瘤及神经重症分会委员;中国抗癫痫协会会员。在上海华山医院、北京天坛医院等多次进修。
出诊时间:周三下午。
点击快速挂号
来源 | 癫痫专科、神经外科
编辑 | 广医二院融媒体中心
订阅后可查看全文(剩余80%)













