近日,广东省人民医院老年呼吸二科主任医师吴健团队成功为一位76岁反复发作的顽固性气胸患者根治疾病。该患者在一个月内气胸复发四次,历经多次传统引流治疗仍无法摆脱病痛,最终在新技术——“气管镜下支气管单向活瓣堵塞术”帮助下康复。
“爆肺”根源是支气管胸膜瘘
2025年11月中旬,76岁的樊伯(化名)在家中劳作后,突发剧烈胸痛、呼吸困难,被确诊为右侧大量气胸,经紧急引流后好转出院。
然而,随后一个月内,他的气胸复发了三次。每次肺“破洞”,胸闷窒息感便卷土重来,迫使老人频繁往返于急诊与病房,接受反复的穿刺和引流。即便卧床静养,病情依然在拔管后不久再次反复,正常生活完全被打乱。
2025年12月3日,身心俱疲的樊伯来到广东省人民医院求助吴健。此时他虚弱到走几步路就必须停下喘气。检查证实,其右肺再次被压缩了90%,情况危急。
在迅速进行引流缓解症状后,吴健团队并未止步于常规处理。团队深入分析认为,樊伯患有慢性阻塞性肺病,肺部本身条件差,布满肺大疱。结合其短期内频繁复发的特点,判断根本问题并非普通气胸,而是形成了“支气管胸膜瘘”——即肺内的支气管与胸腔之间产生了一个异常通道,如同一个关不上的“小阀门”,导致呼吸时气体持续漏入胸腔,使破口难以自行愈合。这是传统引流疗效差的原因。

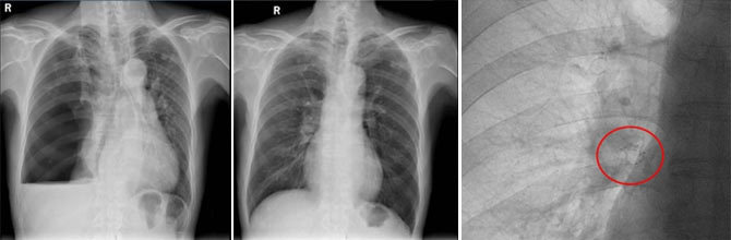
左图:入院前右侧液气胸,右肺压缩约90%。 中图:出院10天后,门诊复诊,右肺完全复张。 右图:红色圈中放大可见右肺下叶置入EBV活瓣。
微创手术植入“智能单向阀”
明确病因后,经多学科讨论并与家属充分沟通,团队决定为樊伯实施气管镜下介入治疗。2025年12月17日,手术在局部麻醉下进行。
手术团队首先利用先进的Chartis肺评估系统进行检测,精准定位到右下肺背段支气管上的瘘口。随后,通过支气管镜将一枚特制的单向活瓣准确植入到该位置。整个过程不足一小时,患者全程清醒,配合良好。
这枚活瓣就像一个“智能单向阀”,允许肺内残余气体和分泌物排出,却阻止气体在吸气时再漏进去。术后,在精细的胸腔引流管理及综合护理下,樊伯的胸闷气促症状未再出现,右肺逐渐完全复张。经夹管观察数日确认无虞后,引流管被顺利拔除。
2025年12月22日,樊伯康复出院。十天后门诊复查,他精神矍铄,胸片显示气胸未再复发。
吴健提醒,胸痛、胸闷、呼吸困难、咳嗽是气胸的典型表现,部分人在剧烈活动、持重物后发病,也有人在日常活动或安静休息时突发。如发生气胸,轻症者可通过休息、吸氧等保守治疗恢复,重症或反复发作者需气道介入或手术治疗。
“预防气胸,首先是要戒烟,其次要避免剧烈运动。”吴健表示,对反复发生气胸者,尤其老年患者、有慢阻肺或肺大疱等基础病,或术后顽固漏气、慢性肺部感染者,要警惕支气管胸膜瘘,“建议老年患者及时就医,确诊后可通过上述技术精准堵瘘,避免复发,助力康复。”
南方+记者 钟哲
订阅后可查看全文(剩余80%)