近日,云浮市人民医院收治了一名因交通事故导致脊柱横断骨折的患者。经过多学科团队的紧密协作,结合胸椎骨折脱位切开复位椎弓根钉棒内固定术、胸椎植骨术、椎管减压术等一系列高难度手术,成功帮助患者实现脊柱良好复位固定。

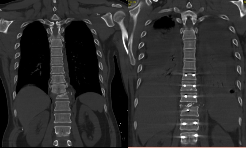
治疗前后对比图。
患者是一名50多岁的男性,在驾驶三轮车途中为避让大货车不慎摔倒,导致头部、胸部、腰部多处受伤,出现短暂昏迷。醒来后,患者感到伤处剧烈疼痛、头部流血,且双下肢无法活动,经云浮市人民医院急诊科院前医生检查,患者被初步诊断为急性脊柱脱位脊髓损伤且出现多处挫伤,随即被送至急诊科。
到达急诊科时,云浮市人民医院创伤中心已启动应急响应机制,集结了脊柱骨科、重症监护室、麻醉手术室、综合介入科、医学影像科、输血科、检验科等多学科骨干力量,并组建急救抢救小组。面对患者情况,团队首先致力于稳定其生命体征,在完成必要的紧急处理后,通过CT检查确认患者脊柱骨折脱位且神经完全性损伤,还出现大小便失禁等严重情况,这意味着患者的脊髓功能受到了严重影响。
面对如此危重的伤情,团队迅速组织多学科协作(MDT)会诊,对患者伤情进行全面精准的评估,快速制定手术方案,同步排查并清除各类潜在医疗风险。“治疗方案确定后,团队立即着手准备手术,并在预期时间内顺利完成。”骨科二区主任林伟鹏说。
救治过程中,患者伤情的特殊性和极端危险性主要体现在技术层面。林伟鹏解析,由于脊柱骨折脱位可能伤及重要动脉,术中存在大出血的风险,这是手术过程中的最大隐患。然而,术前检查显示患者并未出现损伤部位异常血肿,且血压平稳,生命体征相对稳定,无休克表现。经过与家属充分沟通,并获得其有效知情同意,手术治疗如期开展。
“基于科学的判断和团队以往处理类似情况的经验,加上患者当时的情况尚可,术前医疗团队评估决定不进行术前节段动脉栓塞介入治疗,而是选择在术中密切监测,即使出现突发情况,团队也具备术中及时介入治疗止血的能力。”林伟鹏分享。
据介绍,此次手术采用了复位固定融合术,具体包括胸椎骨折脱位切开复位椎弓根钉棒内固定术、胸椎植骨术和椎骨减压术。在胸椎植骨术中,医生取患者自身的碎裂脊柱骨附件,植入到其脊柱脱位椎骨间,以起到支撑作用。林伟鹏解释,“这部分植骨将逐渐与患者的脊柱融合,有助于脊柱恢复。”
令人欣慰的是,手术过程中患者并未出现大出血等意外情况,整体进展顺利。术后,患者被送入重症监护室进行密切监测,情况稳定后已转回骨科病房。近期CT检查显示,患者的脊柱已实现良好复位。

治疗前后对比图。
谈及手术过程中的心理压力,林伟鹏表示,作为主刀医生,此类高难度手术并非首次面对,且手术团队技术成熟、配合默契,加上术前准备充分,因此整个流程推进得较为从容,能够有条不紊地完成各项操作。同时,各科室之间的协作也至关重要——骨科、麻醉科、护理团队,以及随时待命的输血科、介入科,均发挥了不可或缺的作用。“这些都是手术得以顺利实施的重要保障。”
目前,患者已度过生命危险期,进入康复治疗阶段。下一步的康复重点在于预防下肢深静脉血栓,避免患者因并发症危及生命,同时开展康复训练,预防褥疮、呼吸道感染、泌尿系统感染等长期卧床可能引发的问题。
尽管从医学角度看,患者最终大概率会出现低位截瘫等情况,但医院通过手术和心理干预等多方面努力,最大限度稳定患者生命体征,抢救残留神经功能,促进创伤修复,降低了病情恶化的风险。
对于普通公众而言,了解脊柱损伤的现场急救原则至关重要。
林伟鹏提醒,如果遇到车祸、高处坠落等可能导致脊柱损伤的严重外伤,首先应评估现场环境是否安全。如果伤者还能行动,应尽快将其送往医院;如果伤者难以起身且活动困难,在周围环境安全前提下,切勿随意移动患者,应立即拨打120求助;如因环境危险必须转移伤者,应使用担架、平板等工具,在保持平稳的前提下移动,最大限度避免二次伤害。
据介绍,云浮市人民医院创伤中心在该院领导牵头下,救治水平不断提高。此次对脊柱横断骨折患者的成功救治,正是体现了该院创伤救治中心的高效与有序,还反映了该院在严重创伤应急处理和多学科协作方面的显著成效。
云浮市人民医院骨科简介
云浮市人民医院骨科于2022年入选广东省临床重点专科建设项目,深度开展精准医疗和高难度技术。该院骨科细分为骨科二区(脊柱外科)、骨科一区(创伤与关节外科)、血管手足外科,目前有医护人员45人,其中高级职称12人、博士1人、硕士6人。
骨科二区(脊柱外科)主要开展颈椎(腰椎)间盘突出症经椎间孔镜(椎间盘镜)下髓核摘除治疗,微创通道下后路减压内固定,颈椎微创手术治疗,胸腰椎骨折经皮固定复位微创治疗,老年人骨质疏松性胸腰椎压缩性骨折椎体成形微创治疗等。
骨科一区(创伤与关节外科)主要开展机器人辅助下股骨粗隆间骨折闭合复位PFNa内固定术、骨盆骨折内固定术、跟骨骨折内固定术;以及人工关节置换和翻修术、骨关节镜手术(包括关节镜下各项手术)等。
血管手足外科主要开展下肢动脉硬化闭塞症、血管瘤、血管畸形、静脉曲张、深静脉血栓、褥疮及慢性难愈性创面、糖尿病足、内瘘狭窄与闭塞、假性动脉瘤等疾病的治疗,以及血管通路的建立与维护、各种手足外伤的治疗及功能修复重建等。
南方+记者 陈玮琪
通讯员 云医轩
订阅后可查看全文(剩余80%)
